Клиника Эстетика — с заботой о пациентах
В основе работы научно-клинического центра «Эстетика» лежат три ключа успеха — эстетика, качество и внимание. Мы стремимся выполнить процедуру надежно и безопасно на максимально долгий срок, однако делаем немалый акцент и на внешний вид будущего результата. Кроме того, врачи стоматологии чутко и тактично относятся к любой проблеме пациента, сочувствуют ему и оказывают психологическую поддержку.
У нас работают не только отзывчивые, но и высококвалифицированные специалисты с многочисленными сертификатами практических и теоретических курсов.
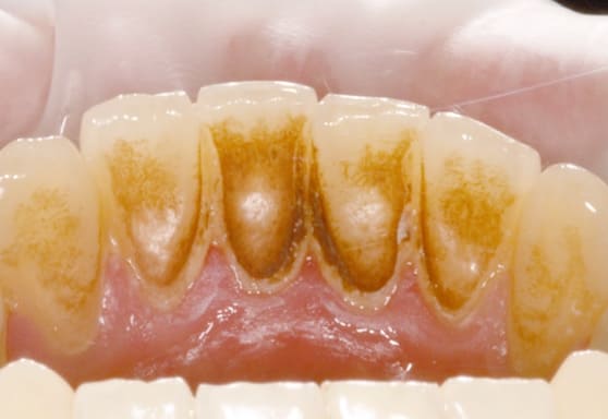
В стоматологической клинике используется только современное оборудование для точнейшей диагностики и успешных зубосохраняющих операций, а также сертифицированные препараты, применяемые для лечения детей и беременных женщин. Для безопасности пациентов кабинеты оснащены автоматической системой очистки воздуха и стерилизационными аппаратами.
Преимущества клиники:
• высокопрофессиональные врачи;
• новейшие методики;
• вежливые и доброжелательные сотрудники;
• высокий уровень обслуживания;
• демократичные цены;
• акции и скидки;
• удобное расположение.
Специализация стоматологии в Хабаровске
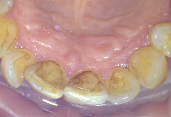
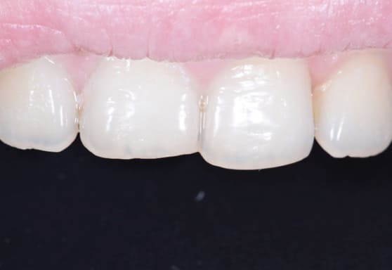
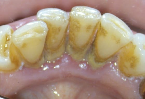
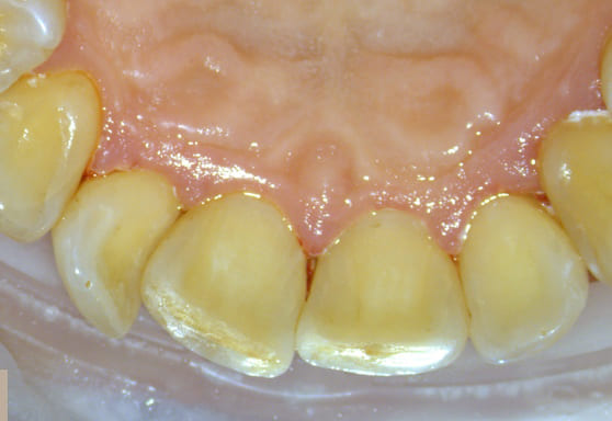
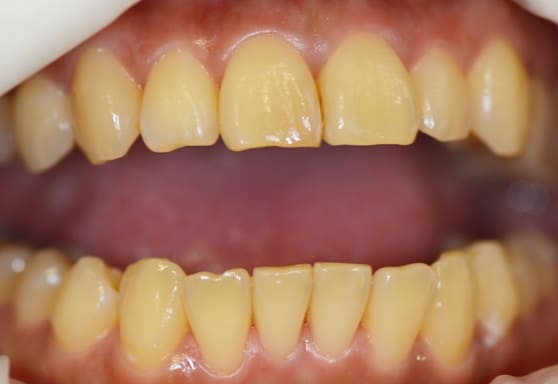
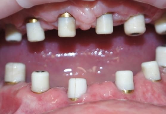
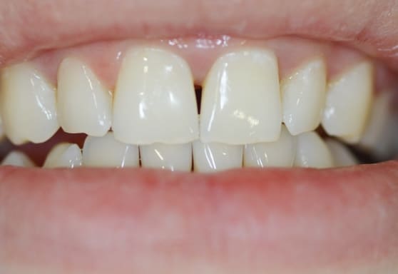
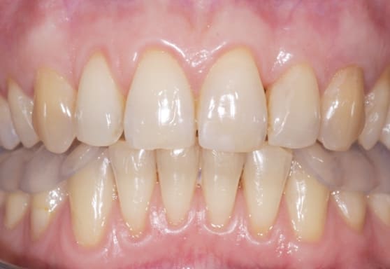
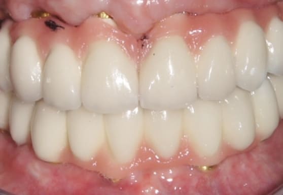
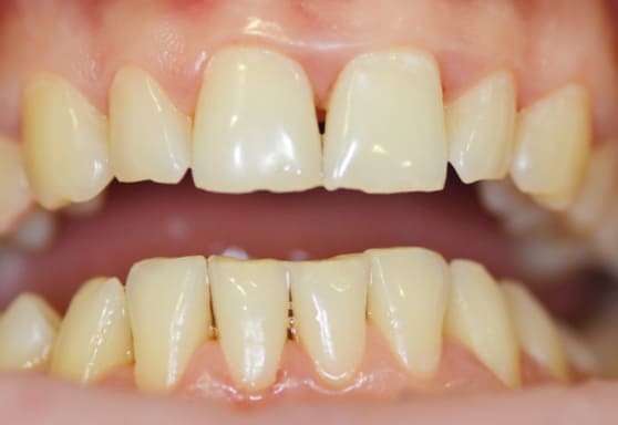
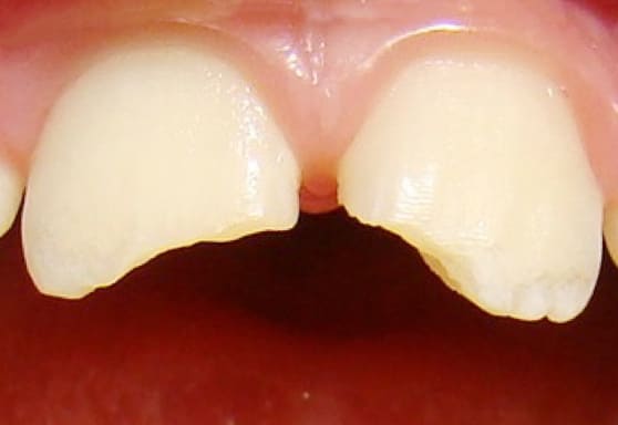
В клинике Estetica предоставляются следующие услуги: лечение и удаление зубов, протезирование и имплантация, процедуры по восстановлению десневой ткани, исправление прикуса с помощью брекет-систем, элайнеров, трейнеров и пластинок, отбеливание и художественная реставрация зубов.
Кроме того, мы оказываем стоматологическую помощь и маленьким пациентам. Наши специалисты не только умеют быстро и безболезненно проводить прием, но и обладают знаниями в области детской психологии и педагогики.
Мы дорожим нашими посетителями и ведем абсолютно прозрачную ценовую политику в клинике. Отзывы свидетельствуют о том, что мы оправдываем доверие наших гостей.
